Prima pagină » Life-Inedit » Pacient diagnosticat cu infecţie la învelişul creierului, în urma folosirii beţişoarelor de urechi. Bărbatul a suferit pierderi de memorie | FOTO

Pacient diagnosticat cu infecţie la învelişul creierului, în urma folosirii beţişoarelor de urechi. Bărbatul a suferit pierderi de memorie | FOTO

Pacientul neidentificat, din regiunea Coventry, Marea Britanie, suferea de convulsii, migrene şi dureri în urechi, relatează USA Today.

Înainte de a fi internat în spital, bărbatul nu îşi mai aducea aminte numele cunoscuţilor. Doctorul său de familie îi oferise un tratament pentru o infecţie severă a urechilor, dar acesta nu avusese succes. La scurt timp după internare însă, medicii au descoperit cauza infecţiei bărbatului.

Medicii de la Spitalul Universitar Coventry şi Trustul Warwickshire l-au tratat pe bărbat, iar specialistul ORL Alexander Charlton a documentat cazul pentru jurnalul BMJ.  

Aceştia au găsit canalul intern al urechii „inflamat”, în interiorul acestuia fiind blocat un „beţişor pentru curăţarea urechilor”. Nu este clar de cât timp se afla obiectul în urechea bărbatului, dar acesta avea probleme cu auzul de cinci ani.

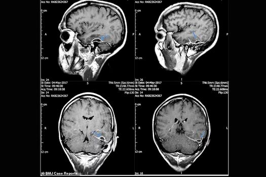
Specialiştii au scos beţişorul şi l-au diagnosticat pe bărbat cu o infecţie rară, numită „necrotizing otitis externa”. Această infecţie este cauzată de bacterii şi afectează canalul urechii, iar în cazul acestui pacient, învelişul creierului.

În tomografiile folosite pentru a-l diagnostica, s-au putut vedea „mici spaţii goale” între creier şi os. Medicii i-au curăţat urechea şi i-au administrat antibiotice intravenos, iar după 10 săptămâni bărbatul s-a recuperat complet.

Recomandarea video