O femeie de 69 de ani a descoperit că avea o tumoră ovariană de dimensiuni excepționale – comparabilă cu cea a unei sarcini la termen cu gemeni – abia când corpul ei a început brusc să cedeze, anunță rainews.it.
:format(webp):quality(80)/https://www.mediafax.ro//wp-content/uploads/2026/01/femeie-tumora.jpg)
Foto: AOU Città della Salute e della Scienza di Torino
Nu simțea nicio durere și nu avea nicio idee despre ce creștea în tăcere în interiorul ei.
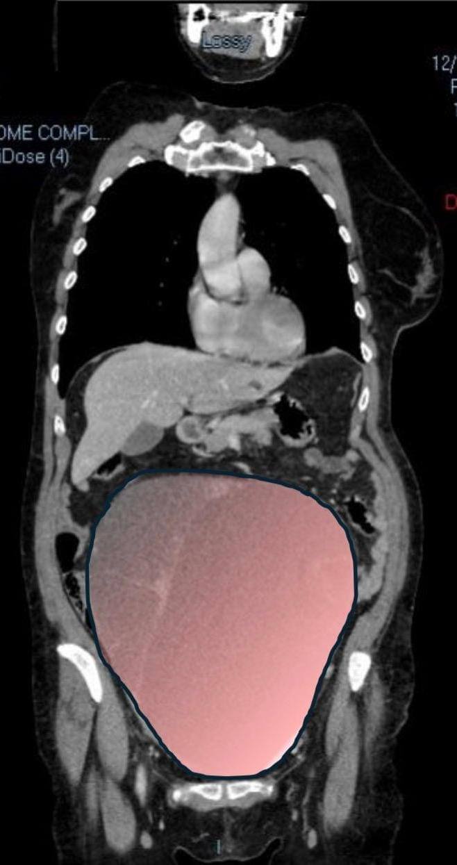
Timp de luni de zile, chistul ovarian gigant, cu un diametru de aproximativ 28 de centimetri, a rămas ascuns, fără a da semne evidente. Pacienta nu observase nimic.
Alarma a fost dată când masa, asociată cu prezența unui al doilea neoplasm intestinal, a început să comprime colonul, provocând dificultăți intestinale severe.

Foto: AOU Città della Salute e della Scienza di Torino
La jumătatea lunii decembrie, femeia a ajuns în atenția personalului medical. Cazul a fost preluat de Departamentul de Chirurgie Ginecologică Minim Invazivă al Spitalului Sant’Anna din Torino, condus de Paolo Petruzzelli. Facilitățile Orașului Sănătății și Științei din Torino au permis definirea diagnosticului și planului de tratament în doar câteva zile.
Pe 23 decembrie, cu câteva ore înainte de Ajunul Crăciunului, pacienta intră în sala de operație. Operația, efectuată în regim de urgență, durează aproximativ șase ore, de la 8:30 la 14:30.
În timpul operației, gravitatea situației a devenit evidentă. Tumora ovariană gigantică a fost îndepărtată: cântărea aproximativ 6 kilograme, având un volum comparabil cu cel al unei sarcini gemelare la termen. Cele mai periculoase simptome erau legate de tulburările intestinale, care necesitau intervenția imediată și coordonată a mai multor specialiști.
:format(webp):quality(80)/https://www.mediafax.ro//wp-content/uploads/2026/01/femeie-tumora-3.jpg)
Foto: AOU Città della Salute e della Scienza di Torino
Această intervenție a salvat literalmente viața femeii. A fost posibilă datorită eforturilor comune ale ginecologilor oncologi, chirurgilor, anesteziștilor, gastroenterologilor, patologilor, radiologilor, asistenților medicali și profesioniștilor din domeniul sănătății.
„Aceste cazuri sunt rare, dar emblematice”, explică directorul medical al spitalului, Umberto Fiandra. „Demonstrează cum promptitudinea, competența și munca în echipă pot face diferența chiar și într-o situație de urgență”.